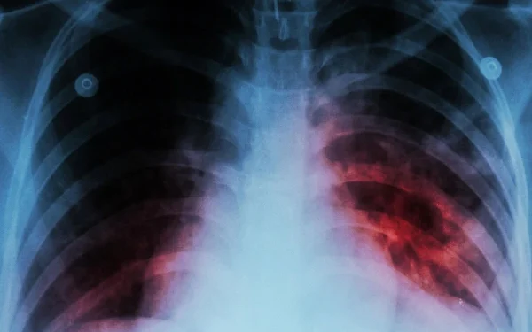
According to the World Health Organization, more than 8 million people were diagnosed with TB last year. This is the highest number recorded since the institution started records.
According to the latest report, about 12 lakh 50 people died of TB last year. While TB is likely to become the world’s deadliest pandemic again. This number of deaths is almost double the number of people who will die from HIV in 2023.
The World Health Organization said that the region of Southeast Asia, Africa and the Western Pacific is affected more by the cause of TB. India, Indonesia, China, Philippines and Pakistan account for more than half of the total cases worldwide.
WHO director-general Tedros Ghebreyesus said in a statement that the reality is that despite the tools to prevent, detect and treat the disease, TB continues to kill so many people.
Globally, the number of deaths caused by TB is decreasing. However, the number of newly infected people remains stable.
About 400,000 people were diagnosed with drug-resistant TB last year, with less than half diagnosed and treated, the agency said.























