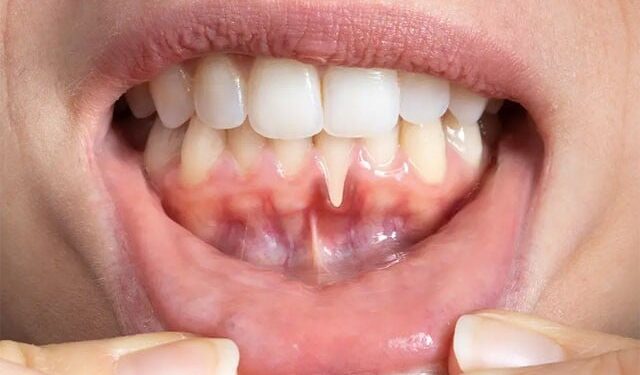
Aarhus: A new study has warned that people with diabetes have a higher risk of developing gum disease.
Research has shown that diabetic patients who have other diseases caused by small blood vessel damage also have a higher risk of developing gum disease.
According to the results of the study, people who had diabetic retinopathy (a disease that damages retinal vision and can cause blindness) had a 21 percent increased risk of developing moderate or severe gum disease. There were more than one hundred.
While those with diabetic neuropathy (a disease that affects the nerves) had a 36 percent higher risk of developing severe gum disease.
The study also found that people who had both diabetic retinopathy and neuropathy had a 51 percent higher risk of developing moderate or severe gum disease.
For the research, the researchers studied about 16,000 diabetic patients.























